چطور 4 سال زودتر بفهمیم سرطان داریم

کد مطلب: ۲۸۱۵۵۲
چطور 4 سال زودتر بفهمیم سرطان داریم

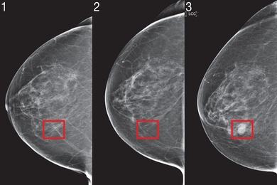
پزشکان مجارستانی در حال حاضر از هوش مصنوعی‌ای استفاده می‌کنند که می‌تواند سرطان پستان را تا چهار سال پیش از گسترش کامل تشخیص دهد.

به گزارش کاماپرس، این فناوری که با عنوان تشخیص با همکاری رایانه شناخته می‌شود، با برجسته‌کردن مناطقی روی جواب آزمایش ماموگرافی به پزشکان کمک می‌کند که بررسی و آزمایش‌های دقیق‌تری را انجام دهند.

تحقیقاتی از دانشگاه ام‌آی‌تی نشان می‌دهد که هوش مصنوعی می‌تواند تغییرات بین ماموگرافی‌ها و نقاط کوچکی را که در خطر تبدیل به غده‌های سرطانی هستند، تشخیص دهد. این مناطق طی زمان درنهایت تبدیل به سرطان پستان می‌شوند.

آزمایشگاه علوم رایانه‌ای و هوش مصنوعی ام‌‌آی‌تی این الگوی ژرف را با استفاده از داده‌های بیش از 90هزار جواب آزمایش ماموگرافی در بیمارستان ماساچوست ایجاد کرده‌اند. این الگو نمونه‌های نامحسوس و مبهم را که برای چشم انسان دشوار است، در بافت‌های پستان تشخیص می‌دهد.

بیشتر بخوانید:

این الگوی هوش مصنوعی، براساس جواب‌های ماموگرافی و نتایج تحقیق روی بیش از 60 هزار بیمار، شاخص‌های اولیه سرطان را تشخیص داده و می‌تواند احتمال گسترش سرطان پستان را در آینده برای بیمار پیش‌بینی کند.

انتهای پیام

ارسال نظر